Odontología Restauradora y Estética.

Especialidad encargada del mantenimiento, cuidado y conservación de los dientes, mediante técnicas restauradoras... También ofrece soluciones estéticas a problemas de lesiones de caries con alternativas variadas devolviendo la función masticatoria, fonética y estética

Las principales patologías asociadas son:

  1. Discromías
  2. Fracturas de piezas anteriores
  3. Alteración de la forma de los dientes anteriores
  4. Mal posición dentaria
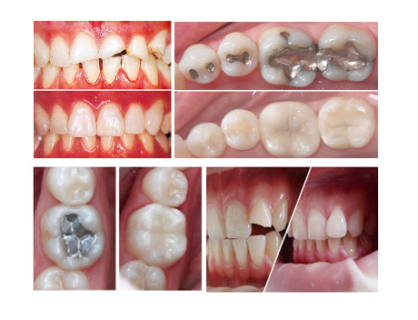
  5. Caries
  6. Hábitos como el bruxismo

Los procedimientos que habitualmente se realizan en Odontología estética son:

  1. Restauraciones en composite
  2. Carillas en composite
  3. Cambio de amalgamas por composite


Contacto



<





Dentifamily todos los derechos reservados - by creativaweb.cl